Health Library
Blood smear
Peripheral smear; Complete blood count - peripheral; CBC - peripheral
A blood smear is a blood test that gives information about the number and shape of blood cells. It is often done as part of or along with a complete blood count (CBC).
Images













I Would Like to Learn About:
How the Test is Performed
A blood sample is needed.
The blood sample is sent to a lab. There, the lab technician looks at it under a microscope. Or, the blood may be examined by an automated machine.
The smear provides this information:
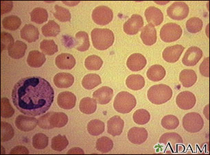
- The number and kinds of white blood cells (differential, or percentage of each type of cell)
- The number and kinds of abnormally shaped blood cells
- A rough estimate of white blood cell and platelet counts
How to Prepare for the Test
No special preparation is necessary.
How the Test will Feel
When the needle is inserted to draw blood, some people feel moderate pain. Others feel only a prick or stinging. Afterward, there may be some throbbing or a slight bruise. This soon goes away.
Why the Test is Performed
This test may be done as part of a general health exam to help diagnose many illnesses. Or, your health care provider may recommend this test if you have signs of:
- Any known or suspected blood disorder
- Cancer
- Leukemia
A blood smear may also be done to monitor the side effects of chemotherapy or to help diagnose an infection, such as malaria.
Normal Results
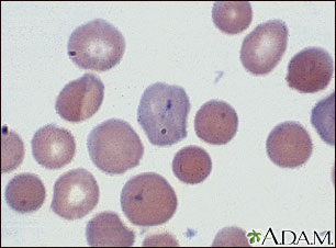
Red blood cells (RBCs) normally are of similar size and color and are a lighter color in the center. The blood smear is considered normal if there is:
- Normal appearance of cells
- Normal white blood cell differential
Normal value ranges may vary slightly among different laboratories. Some labs use different measurements or test different samples. Talk to your provider about the meaning of your specific test results.
What Abnormal Results Mean
Abnormal results mean the size, shape, color, or coating of the RBCs is not normal.
Some abnormalities may be graded on a 4-point scale:
- 1+ means one quarter of cells are affected
- 2+ means one half of cells are affected
- 3+ means three quarters of cells are affected
- 4+ means all of the cells are affected
Presence of cells called target cells may be due to:
- Abnormal hemoglobin, the protein in RBCs that carries oxygen (hemoglobinopathies)
- Deficiency of an enzyme called lecithin cholesterol acyltransferase
- Iron deficiency
- Liver disease
- Spleen removal (splenectomy)
Presence of sphere-shaped cells may be due to:
- Low number of RBCs due to the body destroying them (immune hemolytic anemia)
- Low number of RBCs due to some RBCs shaped like spheres (hereditary spherocytosis)
- Increased breakdown of RBCs
Presence of RBCs with an oval shape may be a sign of hereditary elliptocytosis or hereditary ovalocytosis. These are conditions in which RBCs are abnormally shaped.
Presence of fragmented cells (also called schistocytes) may be due to:
- Artificial heart valve
- Blood disorder that causes blood clots to form in small blood vessels around the body and leads to a low platelet count (thrombotic thrombocytopenic purpura)
- Disorder in which the proteins that control blood clotting become overactive (disseminated intravascular coagulation)
- Infection in the digestive system producing toxic substances that destroy RBCs, causing kidney injury (hemolytic uremic syndrome)
Presence of a type of immature RBCs called normoblasts may be due to:
- Blood disorder called erythroblastosis fetalis that affects a fetus or newborn
- Cancer that has spread to bone marrow
- Disorder in which there is excessive breakdown of hemoglobin (thalassemia)
- Disorder of the bone marrow in which the marrow is replaced by fibrous scar tissue (myelofibrosis)
- Removal of spleen (splenectomy)
- Severe breakdown of RBCs (hemolysis)
- Tuberculosis that has spread from the lungs to other parts of the body through the blood (miliary tuberculosis)
The presence of cells called burr cells may indicate:
- Abnormally high level of nitrogen waste products in the blood (uremia)
The presence of cells called spur cells may indicate:
- Inability to fully absorb dietary fats through the intestines (abetalipoproteinemia)
- Severe liver disease
The presence of teardrop-shaped cells may indicate:
- Anemia caused by bone marrow not producing normal blood cells due to toxins or tumor cells (myelophthisic process)
- Cancer in the bone marrow
- Myelofibrosis
- Severe iron deficiency
- Thalassemia major
The presence of Howell-Jolly bodies (a type of granule inside the red blood cells) may indicate:
- Bone marrow does not produce enough healthy blood cells (myelodysplasia)
- Sickle cell anemia
- Spleen has been removed (splenectomy)
The presence of Heinz bodies (bits of altered hemoglobin) may indicate:
- Alpha thalassemia
- Congenital hemolytic anemia
- Disorder in which RBCs break down when the body is exposed to certain medicines or is stressed because of infection (G6PD deficiency)
- Unstable form of hemoglobin
The presence of slightly immature RBCs may indicate:
- Anemia with bone marrow recovery
- Hemolytic anemia
- Hemorrhage
The presence of basophilic stippling (a spotted appearance) may indicate:
- Disorder of the bone marrow in which the marrow is replaced by fibrous scar tissue (myelofibrosis)
- Lead poisoning
The presence of sickle cells may indicate sickle cell anemia.
Risks
There is little risk involved with having your blood taken. Veins and arteries vary in size from one patient to another and from one side of the body to the other. Obtaining a blood sample from some people may be more difficult than from others.
Other risks associated with having blood drawn are slight, but may include:
- Excessive bleeding
- Fainting or feeling lightheaded
- Multiple punctures to locate veins
- Hematoma (blood buildup under the skin)
- Infection (a slight risk any time the skin is broken)
Related Information
HypochromiaPolychromatophilia
Osmotic fragility test
Liver disease
Hemoglobin
Thalassemia
Hereditary spherocytic anemia
Anemia
Sepsis
Malignancy
Thrombotic thrombocytopenic purpura
Hemolytic-uremic syndrome
Hemolysis
Myelofibrosis
Disseminated tuberculosis
Hemolytic disease of the newborn
Prerenal azotemia
Bassen-Kornzweig syndrome
Sickle cell disease
Lead poisoning
Hemoglobin C disease
Hairy cell leukemia
Non-Hodgkin lymphoma
References
Bain BJ. The peripheral blood smear. In: Goldman L, Cooney KA, eds. Goldman-Cecil Medicine. 27th ed. Philadelphia, PA: Elsevier; 2024:chap 143.
Lim HI, Lee A. Peripheral blood smear. In: Leppert BC, Kelly CR, eds. Netter's integrated review of medicine: pathogens to treatment. Philadelphia, PA: Elsevier; 2021:chap 40.
Prozora S, Gallagher PG. Hereditary elliptocytosis, hereditary pyropoikilocytosis, and related disorders. In: Kliegman RM, St. Geme JW, Blum NJ, et al, eds. Nelson Textbook of Pediatrics. 22nd ed. Philadelphia, PA: Elsevier; 2025:chap 508.
Thom CS, Lambert MP. Blood disorders. In: Kliegman RM, St. Geme JW, Blum NJ, et al, eds. Nelson Textbook of Pediatrics. 22nd ed. Philadelphia, PA: Elsevier; 2025:chap 138.
BACK TO TOPReview Date: 3/11/2024
Reviewed By: Frank D. Brodkey, MD, FCCM, Associate Professor, Section of Pulmonary and Critical Care Medicine, University of Wisconsin School of Medicine and Public Health, Madison, WI. Also reviewed by David C. Dugdale, MD, Medical Director, Brenda Conaway, Editorial Director, and the A.D.A.M. Editorial team.
![]() | A.D.A.M., Inc. is accredited by URAC, for Health Content Provider (www.urac.org). URAC's accreditation program is an independent audit to verify that A.D.A.M. follows rigorous standards of quality and accountability. A.D.A.M. is among the first to achieve this important distinction for online health information and services. Learn more about A.D.A.M.'s editorial policy, editorial process and privacy policy. A.D.A.M. is also a founding member of Hi-Ethics. This site complies with the HONcode standard for trustworthy health information: verify here. |
The information provided herein should not be used during any medical emergency or for the diagnosis or treatment of any medical condition. A licensed medical professional should be consulted for diagnosis and treatment of any and all medical conditions. Links to other sites are provided for information only -- they do not constitute endorsements of those other sites. No warranty of any kind, either expressed or implied, is made as to the accuracy, reliability, timeliness, or correctness of any translations made by a third-party service of the information provided herein into any other language. © 1997- 2025 A.D.A.M., a business unit of Ebix, Inc. Any duplication or distribution of the information contained herein is strictly prohibited.

