Health Library
Mononucleosis
Mono; Kissing disease; Glandular fever
Mononucleosis, or mono, is a viral infection that causes fever, sore throat, and swollen lymph glands, most often in the neck.
Images











I Would Like to Learn About:
Causes
Mono is often spread by saliva and close contact. It is known as "the kissing disease." Mono occurs most often or seen in adolescents and young adults, but the infection may develop at any age.
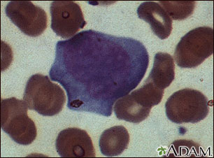
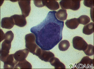
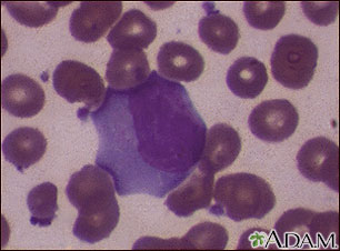
Mono is caused by the Epstein-Barr virus (EBV). Rarely, it is caused by other viruses, such as cytomegalovirus (CMV).
Symptoms
Mono may begin slowly with fatigue, a general ill feeling, headache, and sore throat. The sore throat slowly gets worse. Your tonsils become swollen and develop a whitish-yellow covering. Often, the lymph nodes in the neck are swollen and painful.
A pink, measles-like rash can occur, and is more likely if you take the medicine ampicillin or amoxicillin for a throat infection. (Antibiotics should typically not given without a test that shows you have a strep infection.)
Common symptoms of mono include:
- Drowsiness
- Fever
- General discomfort, uneasiness, or ill feeling
- Loss of appetite
- Muscle aches or stiffness
- Rash
- Sore throat
- Swollen lymph nodes, most often in the neck and armpit
Less common symptoms are:
- Chest pain
- Cough
- Fatigue
- Headache
- Hives
- Jaundice (yellow color to the skin and whites of the eyes)
- Neck stiffness
- Nosebleed
- Rapid heart rate
- Sensitivity to light
- Shortness of breath
Exams and Tests
Your health care provider will examine you. They may find:
- Swollen lymph nodes in the front and back of your neck
- Swollen tonsils with a whitish-yellow covering
- Swollen liver or spleen
- Skin rash
Blood tests will be done, including:
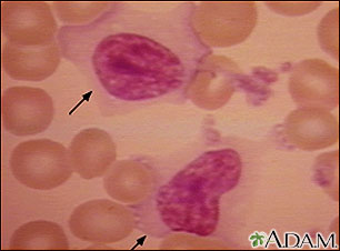
- White blood cell (WBC) count -- will be higher than normal if you have mono
- Monospot test -- will be positive for infectious mononucleosis
- Antibody titer -- tells the difference between a current and past infection
Treatment
The goal of treatment is to relieve symptoms. Steroid medicine (prednisone) may be given if your symptoms are severe.
Antiviral drugs, such as acyclovir, have little or no benefit.
To relieve typical symptoms:
- Drink plenty of fluids.
- Gargle with warm salt water to ease a sore throat.
- Get plenty of rest.
- Take acetaminophen or ibuprofen for pain and fever.
Also avoid contact sports if your spleen is swollen (to prevent it from rupturing).
Outlook (Prognosis)
The fever usually drops in 10 days, and swollen lymph glands and spleen heal in 4 weeks. Tiredness usually goes away within a few weeks, but it may linger for 2 to 3 months. Nearly everyone recovers completely.
Possible Complications
Complications of mononucleosis may include:
- Anemia, which occurs when red blood cells in the blood die sooner than normal (hemolytic anemia)
- Hepatitis with jaundice (more common in people older than 35)
- Swollen or inflamed testicles
- Nervous system problems (rare), such as Guillain-Barré syndrome, meningitis, seizures, damage to the nerve that controls movement of the muscles in the face (Bell palsy), and uncoordinated movements
- Spleen rupture (rare, avoid pressure on the spleen)
- Skin rash (uncommon)
Death is possible in people who have a weakened immune system.
When to Contact a Medical Professional
The early symptoms of mono feel very much like any other illness caused by a virus. You do not need to contact a provider unless your symptoms last longer than 10 days or you develop:
- Abdominal pain
- Breathing difficulty
- Persistent high fevers (more than 101.5°F or 38.6°C)
- Severe headache
- Severe sore throat or swollen tonsils
- Weakness in your arms or legs
- Yellow color in your eyes or skin
Call 911 or the local emergency number or go to an emergency room if you develop:
- Sharp, sudden, severe abdominal pain
- Stiff neck or severe weakness
- Trouble swallowing or breathing
Prevention
People with mono may be contagious while they have symptoms and for up to a few months afterwards. How long someone with the disease is contagious varies. The virus can live for several hours outside the body. Avoid kissing or sharing utensils if you or someone close to you has mono.
Related Information
Non-Hodgkin lymphomaSeizures
Movement - uncoordinated
Guillain-Barre syndrome
Bell palsy
Hepatitis
Hemolytic anemia
Orchitis
References
Ebell MH, Call M, Shinholser J, Gardner J. Does this patient have infectious mononucleosis?: the rational clinical examination systematic review. JAMA. 2016;315(14):1502-1509. PMID: 27115266 pubmed.ncbi.nlm.nih.gov/27115266/.
Johannsen EC, Kaye KM. Epstein-Barr virus (infectious mononucleosis, Epstein-Barr virus-associated malignant diseases, and other diseases). In: Bennett JE, Dolin R, Blaser MJ, eds. Mandell, Douglas, and Bennett's Principles and Practice of Infectious Diseases. 9th ed. Philadelphia, PA: Elsevier; 2020:chap 138.
Schooley RD, Allen UD. Epstein-Barr virus infection. In: Goldman L, Cooney KA, eds. Goldman-Cecil Medicine. 27th ed. Philadelphia, PA: Elsevier; 2024:chap 348.
Stillwell TL, Weinberg JB. Epstein-Barr virus. In: Kliegman RM, St. Geme JW, Blum NJ, et al, eds. Nelson Textbook of Pediatrics. 22nd ed. Philadelphia, PA: Elsevier; 2025:chap 301.
BACK TO TOPReview Date: 3/16/2024
Reviewed By: Jatin M. Vyas, MD, PhD, Roy and Diana Vagelos Professor in Medicine, Columbia University Vagelos College of Physicians and Surgeons, Division of Infectious Diseases, Department of Medicine, New York, NY. Also reviewed by David C. Dugdale, MD, Medical Director, Brenda Conaway, Editorial Director, and the A.D.A.M. Editorial team.
![]() | A.D.A.M., Inc. is accredited by URAC, for Health Content Provider (www.urac.org). URAC's accreditation program is an independent audit to verify that A.D.A.M. follows rigorous standards of quality and accountability. A.D.A.M. is among the first to achieve this important distinction for online health information and services. Learn more about A.D.A.M.'s editorial policy, editorial process and privacy policy. A.D.A.M. is also a founding member of Hi-Ethics. This site complies with the HONcode standard for trustworthy health information: verify here. |
The information provided herein should not be used during any medical emergency or for the diagnosis or treatment of any medical condition. A licensed medical professional should be consulted for diagnosis and treatment of any and all medical conditions. Links to other sites are provided for information only -- they do not constitute endorsements of those other sites. No warranty of any kind, either expressed or implied, is made as to the accuracy, reliability, timeliness, or correctness of any translations made by a third-party service of the information provided herein into any other language. © 1997- 2025 A.D.A.M., a business unit of Ebix, Inc. Any duplication or distribution of the information contained herein is strictly prohibited.

