Health Library
Hepatic hemangioma
Liver hemangioma; Hemangioma of the liver; Cavernous hepatic hemangioma; Infantile hemangioendothelioma; Multinodular hepatic hemangiomatosis
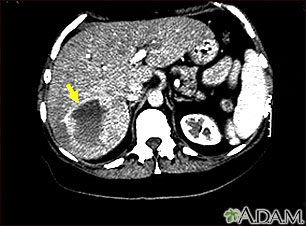
A hepatic hemangioma is a liver mass made of widened (dilated) blood vessels. It is not cancerous.
Images



I Would Like to Learn About:
Causes
A hepatic hemangioma is the most common type of liver mass that is not caused by cancer. It may be a birth defect.
Hepatic hemangiomas can occur at any time. They are most common in people in their 30s to 50s. Women get these masses more often than men. The masses are often bigger in size.
Babies may develop a type of hepatic hemangioma called benign infantile hemangioendothelioma. This is also known as multinodular hepatic hemangiomatosis. This is a rare, noncancerous tumor that has been linked to high rates of heart failure and death in infants. Infants are most often diagnosed by the time they are 6 months old.
Symptoms
Some hemangiomas may cause bleeding or interfere with organ function. Most do not produce symptoms. In rare cases, the hemangioma may rupture.
Exams and Tests
In most cases, the condition is not found until liver images are taken for some other reason. If the hemangioma ruptures, the only sign may be an enlarged liver.
Babies with benign infantile hemangioendothelioma may have:
- A growth in the abdomen
- Anemia
- Signs of heart failure
The following tests may be performed:
- Blood tests
- CT scan of the liver
- Hepatic angiogram
- MRI of the liver
- Single-photon emission computed tomography (SPECT) of the liver
- Ultrasound of the abdomen
Treatment
Most of these tumors are treated only if there is ongoing pain.
Treatment for infantile hemangioendothelioma depends on the child's growth and development. The following treatments may be needed:
- Inserting a material in a blood vessel of the liver to block it (embolization)
- Tying off (ligating) a liver artery
- Medicines for heart failure
- Surgery to remove the tumor
Outlook (Prognosis)
Surgery can cure a tumor in an infant if it is only in one lobe of the liver. This can be done even if the child has heart failure.
Possible Complications
Pregnancy and estrogen-based medicines can cause these tumors to grow.
The tumor may rupture in rare cases.
Related Information
HemangiomaBenign
Tumor
References
Coleman DM, Mendes BC, Tollefson MM, Bower TC. Pediatric vascular tumors. In: Sidawy AN, Perler BA, eds. Rutherford's Vascular Surgery and Endovascular Therapy. 10th ed. Philadelphia, PA: Elsevier; 2023:chap 187.
Di Bisceglie AM, Befeler AS. Hepatic tumors and cysts. In: Feldman M, Friedman LS, Brandt LJ, eds. Sleisenger and Fordtran's Gastrointestinal and Liver Disease: Pathophysiology/Diagnosis/Management. 11th ed. Philadelphia, PA: Elsevier; 2021:chap 96.
Zaydfudim VM, Adams RB. Management of liver hemangiomas. In: Cameron J, ed. Current Surgical Therapy. 14th ed. Philadelphia, PA: Elsevier; 2023:363-368.
BACK TO TOPReview Date: 4/21/2025
Reviewed By: Todd Eisner, MD, Private practice specializing in Gastroenterology in Boca Raton and Delray Beach, Florida at Gastroenterology Consultants of Boca Raton. Affiliate Assistant Professor, Florida Atlantic University School of Medicine. Review provided by VeriMed Healthcare Network. Also reviewed by David C. Dugdale, MD, Medical Director, Brenda Conaway, Editorial Director, and the A.D.A.M. Editorial team.
![]() | A.D.A.M., Inc. is accredited by URAC, for Health Content Provider (www.urac.org). URAC's accreditation program is an independent audit to verify that A.D.A.M. follows rigorous standards of quality and accountability. A.D.A.M. is among the first to achieve this important distinction for online health information and services. Learn more about A.D.A.M.'s editorial policy, editorial process and privacy policy. A.D.A.M. is also a founding member of Hi-Ethics. This site complies with the HONcode standard for trustworthy health information: verify here. |
The information provided herein should not be used during any medical emergency or for the diagnosis or treatment of any medical condition. A licensed medical professional should be consulted for diagnosis and treatment of any and all medical conditions. Links to other sites are provided for information only -- they do not constitute endorsements of those other sites. No warranty of any kind, either expressed or implied, is made as to the accuracy, reliability, timeliness, or correctness of any translations made by a third-party service of the information provided herein into any other language. © 1997- 2025 A.D.A.M., a business unit of Ebix, Inc. Any duplication or distribution of the information contained herein is strictly prohibited.

